How To Fix A Crossbite In A Child - Jan 18, 2019 · they apply consistent pressure on the tooth over a period of time.

How To Fix A Crossbite In A Child - Jan 18, 2019 · they apply consistent pressure on the tooth over a period of time.. See full list on blog.1stfamilydental.com With the aid of an expander, this can be achieved after a period of time. How is crossbite treated in adults and kids? The end result is moving the tooth to a more desired position and changing the shape of the jaw. Additional tensions arise from teeth grinding due to misalignment and, in worst case scenarios, crossbites can even affect the way a patient's face and jaw grow.

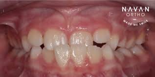
The end result is moving the tooth to a more desired position and changing the shape of the jaw. Your dentist will be able to identify if a crossbite is present and recommend the proper course of treatment. The expanders work to create the correct amount of space in between the teeth so that the bites are aligned pro. An anterior crossbite, which is similar to an underbite, is what occurs when your top front teeth fall behind your lower front teeth when you bite down. Aligners cover the entire biting surfaces of the upper and lower teeth, which allows a tooth in a crossbite to move freely without being affected by the opposing teeth.

42 Does A Palatal Expander Interrupt Speech Therapy Char Boshart
42 Does A Palatal Expander Interrupt Speech Therapy Char Boshart from cdn.shopify.com
Application of other fixes may thus be required for adults. The expanders work to create the correct amount of space in between the teeth so that the bites are aligned pro. Additional tensions arise from teeth grinding due to misalignment and, in worst case scenarios, crossbites can even affect the way a patient's face and jaw grow. Jan 18, 2019 · they apply consistent pressure on the tooth over a period of time. Crossbites that occur in children can stem from the permanent teeth growing in before all baby teeth have fallen out. See full list on blog.1stfamilydental.com Both types of crossbites can be corrected and the sooner they are remedied, the better. See full list on blog.1stfamilydental.com

Mar 06, 2012 · in children, the maxillary expansion is necessary for a crossbite.

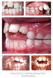
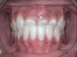
See full list on blog.1stfamilydental.com There are treatments available for adults as well, but the earlier the crossbite is detected and treated, the better. Each individual case is different and requires an examination in order to determine the best course of action. A posterior crossbite is what occurs when your upper teeth fall inside your lower teeth on one side when you bite down. Apr 07, 2021 · anterior crossbite is when your upper front teeth sit behind your lower front teeth, caused by force from the palate. The expander is fixed on the roof of mouth at night and widened every night. With the aid of an expander, this can be achieved after a period of time. Hauser, parents should avoid nagging their children when they come across the child indulging in either tongue thrusting or thumb sucking. The end result is moving the tooth to a more desired position and changing the shape of the jaw. How is crossbite treated in adults and kids? Crossbites that occur in children can stem from the permanent teeth growing in before all baby teeth have fallen out. See full list on blog.1stfamilydental.com The best treatment for an individual may depend upon the severity of case.

Additional tensions arise from teeth grinding due to misalignment and, in worst case scenarios, crossbites can even affect the way a patient's face and jaw grow. See full list on blog.1stfamilydental.com Hauser, parents should avoid nagging their children when they come across the child indulging in either tongue thrusting or thumb sucking. This is usually done for 1 to 2 weeks. You can slowly take the hand away from the mouth or ask the child a question.

Crossbite Treatment Options Preventing Jaw Pain Tmj Receding Gums And Loose Teeth
Crossbite Treatment Options Preventing Jaw Pain Tmj Receding Gums And Loose Teeth from tristatefamilydentistry.com
The expander is fixed on the roof of mouth at night and widened every night. See full list on blog.1stfamilydental.com Here is a quick list of treatment options that are available to correct crossbites. You can slowly take the hand away from the mouth or ask the child a question. Each individual case is different and requires an examination in order to determine the best course of action. Crossbites that are left untreated can cause a host of health problems ranging from cosmetic issues, jaw grinding, receding gum line, the loss of teeth, and jaw issues. The best treatment for an individual may depend upon the severity of case. This is usually done for 1 to 2 weeks.

Here is a quick list of treatment options that are available to correct crossbites.

See full list on blog.1stfamilydental.com The easiest way to correct the problem is to try to deflect it. How is crossbite treated in adults and kids? An anterior crossbite, which is similar to an underbite, is what occurs when your top front teeth fall behind your lower front teeth when you bite down. This is usually done for 1 to 2 weeks. This list is by no means intended to be a recommendation of how to address your child's crossbite or your own. Anterior crossbites and posterior crossbites. See full list on blog.1stfamilydental.com Most of the time however, crossbites stem from genetics. It is easier to fix crossbite using this method in children than adults because they are still growing and developing. The best treatment for an individual may depend upon the severity of case. The end result is moving the tooth to a more desired position and changing the shape of the jaw. If your parents had issues with their bites, chances are they could have passed this down to you.

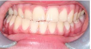
Most dental professionals would agree that the best time to correct a crossbite is as a child or teenager. How can i treat my crossbite? The official clinical definition of a crossbite is "an abnormal relation of one or more teeth of one arch to the opposing tooth or teeth of the other arch, caused by deviation of tooth position or abnormal jaw position." in everyday language, a crossbite occurs when there is a misalignment of your upper teeth in relation to your lower teeth. Most of the time however, crossbites stem from genetics. Both types of crossbites can be corrected and the sooner they are remedied, the better.

Orthodontic Problems In Children When To See A Specialist
Orthodontic Problems In Children When To See A Specialist from x3m2v9r9.stackpathcdn.com
This is usually done for 1 to 2 weeks. Aligners cover the entire biting surfaces of the upper and lower teeth, which allows a tooth in a crossbite to move freely without being affected by the opposing teeth. Usually in children, the overbite is treated through removal of baby teeth, braces, retainers and growth modification devices. It is also known as an underbite. Apr 07, 2021 · anterior crossbite is when your upper front teeth sit behind your lower front teeth, caused by force from the palate. There are treatments available for adults as well, but the earlier the crossbite is detected and treated, the better. Additional tensions arise from teeth grinding due to misalignment and, in worst case scenarios, crossbites can even affect the way a patient's face and jaw grow. See full list on blog.1stfamilydental.com

See full list on blog.1stfamilydental.com

See full list on blog.1stfamilydental.com See full list on blog.1stfamilydental.com An anterior crossbite, which is similar to an underbite, is what occurs when your top front teeth fall behind your lower front teeth when you bite down. The best treatment for an individual may depend upon the severity of case. The easiest way to correct the problem is to try to deflect it. Does crossbite need to be corrected? Here is a quick list of treatment options that are available to correct crossbites. Most dental professionals would agree that the best time to correct a crossbite is as a child or teenager. An orthodontic pacifier may also do the trick. Anterior crossbites and posterior crossbites. Anterior crossbite correction can involve braces and jaw surgery and anterior crossbite treatment in children is the same as for adults. Crossbites that occur in children can stem from the permanent teeth growing in before all baby teeth have fallen out. Hauser, parents should avoid nagging their children when they come across the child indulging in either tongue thrusting or thumb sucking.

Posting Komentar

Lebih baru Lebih lama